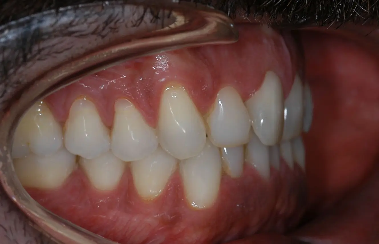
Case 5
Case 5: Moderate Crowding
Age: 43 - Gender: Male
Tx Period: 16 months
No. of steps: 32
Before After
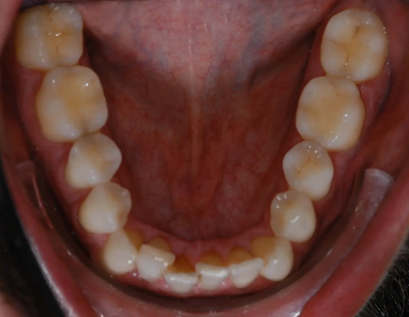
Age: 43 - Gender: Male
Tx Period: 16 months
No. of steps: 32
Before After